Introducción
La espondilólisis lumbar es una causa común de dolor lumbar bajo en pacientes adolescentes deportistas1-5. La prevalencia de dolor lumbar bajo en pacientes deportistas entre 11-17 años varía del 8,02 al 30,9% según la bibliografía consultada6-10.
Se ha observado una mayor incidencia de espodilólisis en algunos deportes como gimnasia, levantamiento de pesas, lucha, patinaje, voleibol, tenis y fútbol2,11. Se trata de un defecto óseo en la pars interarticularis del arco posterior vertebral y actualmente se acepta esta lesión como una fractura por estrés debido a un microtrauma repetido por carga y descarga de la zona, habitualmente en flexoextensión con o sin rotación lumbar. Suele ser bilateral, y en la mayoría de los casos (85-95%) afecta a L512,13.
Basándonos en las recomendaciones realizadas por Standaert5 y en el documento de consenso de la Societat Catalana de Medicina de l'Esport (SCME)13 (fig. 1) hemos realizado el tratamiento y seguimiento del siguiente caso.
Figura 1 Conducta a seguir ante un EPL en un niño adolescente. CL: clínica; DVL: deportes vertebralmente agresivos; EPL: espondilólisis; FD: factores displásicos; COP: gammagrafía ósea planar; RM: resonancia magnética.
Caso clínico
Paciente varón, de 13 años de edad, jugador de fútbol, que acudió a consulta en septiembre de 2005 refiriendo dolor lumbar bajo de 4 meses de evolución, sin irradiación a extremidades inferiores. El dolor referido es de tipo punzante a nivel de L4-L5-S1 y se acentúa con la práctica deportiva (correr, saltar, chutar, etc.). Igualmente, disminuye con reposo. A la exploración, destacaba un dolor bilateral paralumbar bajo que aumentaba con la hiperextensión. Existía una disminución de la flexibilidad de los isquiosurales. Se orientó el diagnóstico como espondilólisis lumbar y se solicitó un estudio radiográfico (frente, perfil y oblicuas a 45°). Se pautó reposo deportivo y electroterapia antiinflamatoria. Igualmente, se acuerda una visita al podólogo.
Curso clínico
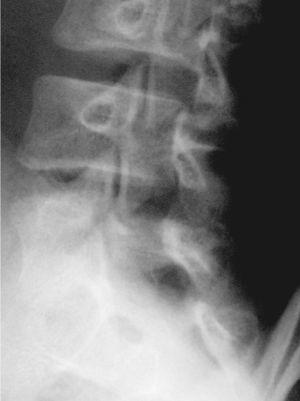
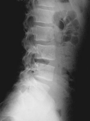
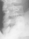
En la visita siguiente el paciente se presenta con radiografías que confirman el diagnóstico de espondilólisis L5 unilateral derecha (figs. 2 y 3). De acuerdo con el Documento de Consenso de la Societat Catalana de Medicina de l'Esport, se solicita una gammagrafía ósea planar (GOP) con tomografía computarizada por emisión de fotón simple (SPECT). Se decide continuar con el mismo tratamiento y se informa al paciente que será un tratamiento a largo plazo.
Figura 2
Figura 3
A los 15 días el paciente se presenta con sintomatología atenuada. La GOP/SPECT (figs. 4 y 5) demuestra fenómenos de remodelación ósea a nivel de ambas pars de L5. Por tanto, se concluye el diagnóstico de espondilólisis activa L5 derecha y espondilólisis izquierda en formación. Se continúa el mismo tratamiento agregándose una pauta específica de ejercicios delordosantes y ortesis plantares de corrección.
Figura 4
Figura 5
A los 2 meses, el paciente relata una mejoría clínica significativa, por lo que se indica practicar natación para reforzar la zona lumbar, además del tratamiento anterior. Se solicita un nuevo estudio radiográfico en 15 días.
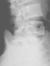
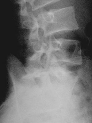
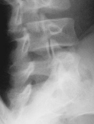
El nuevo estudio radiográfico demuestra espondilólisis L5 derecha y persistencia de integridad del hemiarco izquierdo (figs. 6 y 7). Igualmente, el estudio radiográfico dinámico demuestra establidad completa de la charnela lumbosacra (fig. 8). Por todo ello se planea el alta deportiva, aunque se le recomienda continuar un mes más el tratamiento, demorando el regreso a la práctica deportiva.
Figura 6
Figura 7
Figura 8
En una visita posterior, coincidiendo con el retorno a la plena actividad, se realiza un control mediante GOP/SPECT, en donde se observa una leve persistencia de actividad osteogénica en lado izquierdo y nulo en el derecho (fig. 9). En este momento se pauta un mes más de tratamiento y se cita para valorar el alta. En la última visita el paciente se presenta completamente asintomático.
Figura 9
Discusión
Siguiendo las recomendaciones del documento de consenso de la SCME para la sospecha clínica de espondilólisis, hemos podido observar la historia natural de dos procesos de espondilólisis distintos. Por una parte, el lado derecho, representa la evolución de una lisis activa a una inactiva. Por otra parte, el lado izquierdo muestra la evolución de una espondilólisis inactiva, detectada precozmente y correctamente planteada, que se autolimita en el tiempo sin secuelas radiográficas. En nuestro caso nos ha sido de gran utilidad el hecho de orientar la lesión como de larga evolución, ya que nos ha permitido tratar el paciente con los plazos de reposo pertinentes. Igualmente es muy útil el estricto control periódico de este tipo de pacientes, ya que de esta manera se pueden introducir estrategias terapéuticas de forma progresiva.
Coincidiendo con la opinión de Standaert5, no ha sido necesaria la colocación de un corsé delordosante, debido al diagnóstico temprano realizado y a que la sintomatología cedió a los 15 días de reposo; este caso demuestra que su colocación no es estrictamente necesaria.
Figura 10
Finalmente, cuando hay coincidencia de clínica, radiología simple y gammagrafía ósea, no es estrictamente necesario realizar una tomografía computarizada ya que en nuestra experiencia, siguiendo los estudios radiográficos periódicos, es posible el control evolutivo de la lesión.
Correspondencia:
Dr. Federico A. Yáñez Siller.
Llorens i Braba, 45-49 B, 4-2. 08025 Barcelona.













