Introducció
La utilització de l'ecografia en l'estudi del sistema musculosquelètic ofereix una tal realitat, que la precisió en el diagnòstic de lesions que afecten aquests teixits tous exigeix l'ús de tècniques d'imatge aplicades a la ultrasonografia cada vegada més sensibles. Entre aquests sistemes cal remarcar la utilitat de la imatge harmònica o THI (tissue harmonic image), que permet millorar àmpliament la qualitat de les imatges obtingudes en l'estudi dels músculs, dels tendons i dels lligaments. Aquests senyals harmònics poden arribar a diferents llocs anatòmics amb impedàncies semblants i així produir un contrast més gran de resolució, especialment a la superfície del tendó i de l'articulació. Estudis recents comparen la visibilitat entre l'harmònic i l'ultrasò convencional, tot demostrant que el THI supera en el diagnòstic de lesions d'espatlla com les que afecten el tendó subescapular1,2.
Una altra aplicació que inclouen els nous equips compactes és la tècnica d'imatge ampliada, que permet obtenir una visió panoràmica dels teixits, molt útil en el cas de lesions molt àmplies, com les que afecten l'aparell extensor del genoll o bé grups musculars3. Per últim, la inclusió d'un sistema d'ecografia composta en temps real que augmenta notablement la resolució lateral de la imatge (sistema Compound) millora la capacitat d'aquests aparells compactes, especialment en les lesions que afecten els plans més profunds4.
Amb l'objectiu permanent de millorar la precisió i el rigor en el diagnòstic, en l'evolució i en el tractament de les lesions musculosquelètiques, sobretot en l'àmbit de l'esport professional, és imprescindible la introducció de noves aplicacions tecnològiques de la ultrasonografia, perquè, amb caràcter portàtil, el pacient pugui tothora i arreu (aspectes imprescindibles en l'àmbit de traumatologia de l'esport) ser valorat amb la precisió i la sensibilitat diagnòstica que el seu procés lesional reclami. En resum, es tracta de millorar els avantatges ja coneguts de la sonografia, com són l'accessibilitat, el baix cost, la capacitat de multiplans, la possibilitat de fer una exploració dinàmica en temps real i l'opció d'un estudi comparatiu amb l'extremitat contralateral sana.
Objectius
Comparar l'estudi ecogràfic de diverses lesions de teixits tous mitjançant les imatges obtingudes amb un equip portàtil d'ultrasonografia, implantat des de fa un any al mercat, amb un altre equip compacte d'aparició recent que aporta com a novetats tecnològiques la inclusió d'imatge harmònica, sistema d'ecografia composta en temps real, sistema de visió panoràmica, imatge en 3 dimensions o 3D i, per últim, sistema de convex virtual. Amb aquest estudi es pretén analitzar si les diverses prestacions comporten diferències en l'eficàcia i la sensibilitat d'aquests sistemes aplicats al diagnòstic i al seguiment evolutiu de les lesions musculosquelètiques mitjançant l'ecografia portàtil, en el món de la traumatologia de l'esport.
Material i mètodes
En aquest treball es compara la visualització de teixits tous amb 2 equips portàtils d'ecografia i es descriuen les diferències entre les imatges obtingudes amb cadascun dels sistemes.
L'equip convencional d'ultrasons A, que hem anomenat E-A, és un dispositiu portàtil d'ecografia controlat per programari i utilitza un sistema completament digital. Aquest equip permet obtenir i visualitzar imatges ecogràfiques d'alta resolució en temps real, bidimensionals, que integren Doppler de potència color, Doppler color, Doppler en mode M, Doppler polsat i Doppler continu. Per a la qual cosa empra un transductor lineal multifreqüència de 6 a 13 megahertzos de 25 mm que produeix una resolució en pla de 200 µm per a 450 µm i secció d'un gruix de 0,5-1 mm. La resolució espacial de l'ultrasò supera l'obtinguda amb ressonància magnètica.
La introducció del Power Doppler o Doppler energia i l'ús conjunt del Doppler polsat permet captar fluxos de molt baixa velocitat en tendons normals d'individus asimptomàtics5. D'altra banda, en tendinopaties doloroses s'obtenen troballes importants que permetran una correlació amb les imatges obtingudes per ressonància magnètica2. L'altre equip utilitzat per a aquest treball, que hem anomenat E-B, és un aparell compacte incorporat al mercat l'agost de 2006 i que té diverses millores tècniques sobre l'equip convencional ja esmentat.
Potser la seva aplicació tècnica més rellevant és el THI, que empra transductors que emeten a 7,5 MHz i recullen la informació amb el doble de freqüència (14 MHz), tot permetent de fer exploracions a més profunditat, però amb una resolució molt més gran. A més, permet augmentar la definició de la imatge i reduir el soroll, tot aconseguint un efecte superior en les interfases. Per últim, amb la utilització del THI es redueixen la majoria dels artefactes que es produeixen amb altres equips, com la reverberació, i millora la relació soroll-senyal. L'eficàcia ha quedat demostrada en altres especialitats, com ara cardiologia6, i en l'exploració de l'abdomen, de la mama i dels vasos7-11.
Aquest equip E-B inclou una altra novetat en exclusiva respecte d'altres equips portàtils: la tècnica de la visió panoràmica. Així s'obté una imatge resultant amb una exploració de longitud superior a la grandària de la sonda, en la qual els punts mantenen la distància relativa. D'aquesta manera es poden visualitzar en una pantalla àrees d'exploració de fins a 60 cm amb molt bona resolució espacial. Per exemple, es poden obtenir imatges de tota la longitud de l'aparell extensor del genoll, del tendó d'Aquil·les o dels músculs del panxell de la cama3.
Una altra novetat tècnica que inclou l'equip E-B és l'ecografia composta en temps real (Compound), que és una imatge composta que es produeix en enviar feixos d'ultrasons des de diversos angles, tot augmentant la resolució lateral de la imatge2,4,11.
La imatge en 3D és una altra innovació tècnica en un equip portàtil. Fa un exploració transversal amb acumulació d'imatges successives que formen un cub o volum d'imatge ecogràfica, en què posteriorment es pot entrar i visualitzar qualsevol pla i estructura12.
En darrer lloc, l'equip E-B disposa d'un sistema convex virtual. Amb aquesta tècnica s'origina una imatge en què els vidres d'una sonda lineal emeten en ventall controlats electrònicament, tot augmentant fins en un 40% el camp de visió i facilitant l'exploració13,14.
A fi d'analitzar les imatges obtingudes amb aquests 2 equips, les exploracions van ser fetes pel mateix tècnic (metge especialista), amb més de 8 anys d'experiència en ultrasonografia, seguint el protocol que es descriu tot seguit. Després de l'anamnesi i l'exploració física del pacient lesionat, inicialment es fa la palpació anatòmica per identificar, localitzar i marcar punts i zones de lesió amb un llapis dermogràfic. Després, amb el transductor de l'equip E-A es fa una exploració sobre l'àrea de lesió, i se'n localitza i se'n guarda la imatge patològica. Posteriorment es marca el punt del mig i els extrems del transductor d'E-A, en la posició de captura d'imatges. Tot seguit es repeteix l'exploració amb l'altre equip (E-B), per tal que el centre del transductor d'E-B coincideixi amb el punt del mig marcat amb la sonda de l'E-A. D'aquesta manera s'aconsegueix fer l'exploració situant la sonda d'ambdós equips ecogràfics al mateix punt anatòmic, i sense que el pacient hagi modificat la posició del membre o de la zona lesional.
A fi de poder unificar els criteris de valoració de la imatge, en aquest treball, d'acord amb els criteris clàssics d'estudis ecogràfics15, s'han proposat uns indicadors i paràmetres quantitatius de qualitat ecogràfica a la zona de la lesió, que són els següents:
- Grau d'ecogenicitat. La imatge es considera hiperecoica (d'1 a 3 punts), hipoecoica (d'1 a 3 punts) o anecoica (d'1 a 3 punts).
- Grandària de l'àrea de la lesió. A causa de la distribució irregular d'algunes lesions, simplement es considerarà de grandària més gran, menys gran o semblant.
- Aspecte. Es considera de tipus homoecoic o heteroecoic, segons que la zona de la lesió tingui caràcter homogeni o no.
- Forma. La zona de la lesió pot ser, quant a la forma, lineal, oval, fusiforme, lobulada o irregular, si no té una forma concreta.
- Vores. La millor o pitjor visualització de les vores que delimiten la lesió pot ser quantificada (d'1 a 3 punts).
- Visualització global. La definició global de la imatge lesional estudiada es quantifica d'1 a 3 punts.
Per últim, per fer l'estudi comparatiu de les imatges obtingudes amb ambdós equips d'ecografia (E-A i E-B), metodològicament s'han valorat 3 tipus de teixit tou (múscul, tendó i lligament), i considerant aquests aspectes ecogràfics específics:
Ecografia del múscul
Zona d'estudi. En la lesió traumàtica s'ha triat la zona de contusió on es produïa el fenomen d'ecopalpació positiva (àrea dolorosa a la pressió amb el transductor) tot delimitant l'àrea concreta de la lesió, a partir del territori més ampli de desestructuració16,17.
Projeccions per realitzar. Es fan talls longitudinals, transversals i de vegades oblics a la zona de lesió, col·locant la sonda perpendicular del tot a la superfície muscular.
Ecografia del tendó
L'estudi es du a terme amb transductors d'alta freqüència que permeten valorar en talls longitudinals les fibres de col·lagen que li donen l'aspecte de feixos paral·lels hipoecoics i homogenis separats per espais hiperecoics, que es barregen d'una manera sinusoïdal i que corresponen a interdigitacions de teixit conjuntiu per on passen els vasos formant l'endotendó18,19.
En el tall transversal apareix un patró clapat fi amb alternança de zones puntiformes hipoecoiques i hiperecoiques, de predomini altament refringent o ecoic i de morfologia arrodonida o oval20,21.
Ecografia del lligament
Els lligaments tenen un aspecte semblant als tendons, és a dir, presenten un aspecte hiperecoic, però més heterogeni a causa de l'entrecreuament més gran de les seves fibres de col·lagen22,23.
Resultats
Per demostrar la millor qualitat d'imatge que suposa la inclusió de noves tecnologies en els equips portàtils i per tal de fer una anàlisi diferencial comparativa, en aquest treball s'han utilitzat imatges ecogràfiques obtingudes en 5 lesions diferents que afecten teixits tous (múscul, tendó i lligament).
Contusió muscular
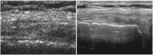
S'explora una lesió per contusió de 5 dies d'evolució que afecta el múscul gastrocnemi intern. Les imatges demostren que no hi ha afectació del teixit cel·lular subcutani i que el dany fibril·lar es manifesta per l'augment generalitzat de l'ecogenicitat a causa de la presència d'edema i per la formació d'una o diverses cavitats de contingut anecoic i vores irregulars. Aquestes cavitats estan ocupades per imatges hiperecoiques del seu interior, que corresponen a zones de desorganització en l'estructura muscular i a petits hematomes associats24.
Utilitzant l'equip E-A, mitjançant tall transversal sobre el múscul contusionat s'observa (fig. 1A) la imatge de predomini hiperecoic i al seu interior la zona oval hipoecoica amb mala delimitació de les vores i amb mala definició del contingut, la qual cosa la fa compatible amb un lesió muscular per mecanisme extrínsec. La imatge de l'equip E-B presenta també un aspecte hiperecoic, si bé la zona oval hipo-ecoica/anecoica presenta vores molt ben marcades i s'observa amb detall que a l'interior hi ha un contingut heteroecoic que correspon a les zones de reabsorció de l'hematoma (fig. 1B). Tots aquests signes permeten el diagnòstic precís de la lesió muscular extrínseca.
Figura 1 A) En el tall transversal amb E-A s'observen imatges hipoecoiques al ventre del múscul gastrocnemi intern. B) En el mateix tall, amb l'equip E-B es delimita exactament la zona lesionada de l'àrea muscular indemne que l'envolta.
Els resultats de l'anàlisi comparativa de les imatges obtingudes amb els indicadors i paràmetres quantitatius proposats de qualitat d'imatge lesional s'exposen en la taula I.
Lesió muscular intrínseca
Els traumatismes intrínsecs del múscul són lesions per distensió, secundàries de moviments violents, en què es produeix una tensió brusca dels grups musculars. L'elasticitat del múscul pot ser superada durant una activació muscular excèntrica, la qual cosa pot originar diversos tipus de ruptura fibril·lar25-28. En aquest cas comparem una ruptura fibril·lar parcial de 4 setmanes d'evolució i, per tant, en fase de resolució que afecta la inserció proximal del múscul gastrocnemi extern.
Utilitzant l'equip E-A, en un tall longitudinal sobre el múscul bessó extern a l'altura del terç superior (fig. 2A) s'observa la referència òssia que correspon a la cortical del peroné, i en un pla superior no s'observa discontinuïtat focal de les fibres ni la presència d'un hematoma intramuscular, a causa possiblement de la llarga durada d'evolució (1 mes). En canvi, amb E-B s'observa una zona hipoecoica al ventre muscular del bessó extern (fig. 2B), d'aspecte irregular i lineal no visualitzable amb l'E-A, la qual cosa facilita la confirmació ecogràfica de la sospita clínica.
Figura 2 A) Aspecte fibril·lar normal en un tall longitudinal del múscul gastrocnemi extern sobre el peroné en una imatge d'E-A. B) En un tall longitudinal amb E-B s'observa l'àrea hipoecoica al ventre del bessó extern.
En la taula II es comparen els indicadors de qualitat amb ambdós equips.
Tendinosis rotuliana
Aquest pacient referia dolor relacionat amb l'esforç durant l'exercici de cursa i salt des de feia 3 setmanes. Amb l'equip E-A s'observa una mínima predominança hipoecoica en la unió os-tendó (fig. 3A); tanmateix, amb l'equip E-B i ampliant la imatge es veu un clar predomini hipoecoic, fet que permet confirmar el diagnòstic de tendinitis degenerativa (fig. 3B)29,30.
Figura 3 A) L'observació en tall longitudinal permet amb l'equip E-A observar una zona hipoecoica de petita dimensió en la unió del tendó rotulià al pol inferior de la ròtula. B) En el mateix tall amb l'equip E-B la zona hipoecoica afecta els dos terços superiors del tendó rotulià.
Els resultats de l'anàlisi comparativa de les imatges obtingudes amb els indicadors i els paràmetres quantitatius de qualitat d'imatge lesional s'exposen en la taula III.
Però l'aplicació de visió panoràmica de l'equip E-B ens permet precisar l'amplitud de la lesió, tot confirmant que aquesta ocupa els dos terços proximals del tendó rotulià (fig. 4).
Figura 4 La zona hipoecoica queda àmpliament delimitada en els dos terços superiors del tendó rotulià utilitzant l'equip E-B en un tall longitudinal panoràmic.
Tendinitis calcificant del rotulià
Aquest pacient presentava dolor rotulià crònic en relació amb l'exercici físic des de feia diversos anys. L'estudi longitudinal realitzat amb ambdós equips (E-A i E-B) permet observar una gran calcificació que envaeix la porció proximal del tendó31-34. Aquesta calcificació produeix una ombra acústica posterior (fig. 5A) visualitzable semblantment amb ambdós equips (fig. 5B), per bé que amb l'equip E-B s'observa la presència d'una zona hipoecoica àmplia, pròxima a la calcificació. A més, l'E-B permet l'estudi en 3D (fig. 6).
Figura 5 A i B) La calcificació és fàcilment visible amb els dos equips, i es comprova l'ombra acústica posterior.
Figura 6 La imatge en tres dimensions de l'equip E-B s'obté per mitjà d'una exploració transversal amb acumulació d'imatges successives que permeten observar la calcificació en tots els plans
Els resultats de l'anàlisi comparativa de les imatges obtingudes amb els indicadors i els paràmetres quantitatius proposats de qualitat d'imatge lesional s'exposen en la taula IV.
Lligament lateral intern del genoll
La ruptura parcial recent de les fibres del lligament lateral del genoll (esquinç de grau II) origina dolor intens i incapacitat per aconseguir l'extensió articular completa. Però quan es tracta com en aquest cas d'una ruptura lligamentosa produïda 3 mesos abans de l'exploració, la simptomatologia desapareix. Mitjançant exploració ecogràfica, l'equip E-A permet valorar la integritat dels 2 fascicles del lligament (fig. 7A), tot i que detecta una petita imatge hipoecoica en una àrea del fascicle profund22,35,36. Tanmateix, l'exploració amb l'E-B permet observar una àmplia zona hipoecoica d'aspecte heterogeni en el fascicle profund del lligament lateral intern, just per sobre de la cortical del còndil femoral (fig. 7B).
Figura 7 A) Amb l'equip E-A s'observa la integritat del lligament lateral intern amb una petita imatge hipoecoica en el fascicle profund, mentre que amb l'equip E-B (B) s'observa el fascicle profund del mateix lligament amb un aspecte heteroecoic que correspon a la zona de reparació just per sobre de la cortical òssia del fèmur.
Els resultats de l'anàlisi comparativa de les imatges obtingudes amb els indicadors i els paràmetres quantitatius de qualitat d'imatge lesional proposats s'exposen en la taula V.
Discussió
En el cas de la contusió muscular (cas 1), la comparació de les imatges obtingudes amb sengles equips indica que amb l'E-B es visualitzen zones anecoiques i hipoecoiques no objectivables amb l'E-A, per la qual cosa s'obté una definició d'imatge més elevada.
D'acord amb la taula I, l'equip E-B és més sensible per detectar zones hipoecoiques i anecoiques i per definir el procés de sagnat muscular que es produeix com a conseqüència de la contusió. Per tant, en el cas de la contusió muscular, l'aplicació de noves tècniques d'ultrasonografia com les que aporta el portàtil E-B permet en l'estudi de les lesions musculars extrínseques la millor visualització de l'àrea d'edema interfibril·lar, com també una definició més gran de les vores de la lesió, generalment irregulars en aquest tipus d'accident muscular. D'altra banda, la visualització del contingut de les zones hipoecoiques permet contemplar l'aspecte heteroecoic del teixit hemàtic en fase de reabsorció22,24,26,27.
Quant a la lesió muscular intrínseca (cas 2), la utilitat de l'E-B es basa en la detecció de l'àrea hipoecoica de la lesió que correspon a la ruptura fibril·lar. A diferència de l'equip convencional, aquesta zona fins i tot esdevé visible 4 setmanes després de produir-se la lesió, i a més permet observar amb detall els vasos sanguinis al territori de la lesió. Amb aquestes millores tècniques, en definitiva, s'estan prolongant els períodes visibles de la lesió, especialment en els traumatismes musculars intrínsecs de petita grandària22,25,26,36.
En el tercer cas analitzat, referent a una tendinitis rotuliana, l'estudi amb ambdós equips deixa clara l'absència d'engrossiment del tendó i la no presència de calcificacions ni vasos neoformats. Però com que l'equip E-B inclou un sistema d'ecografia composta en temps real, en l'estudi d'una tendinitis, en incidir sobre el teixit des de diversos angles d'insonació es redueix l'efecte anisotròpic i s'aconsegueix més definició del tendó degenerat. A més a més, amb la incorporació del sistema de visió panoràmica s'obté una delimitació exacta de l'amplitud de la lesió, que en aquest pacient assolia dos terços de la longitud del tendó19,20,22,24.
En el cas de la tendinitis calcificant del tendó rotulià (cas 4), les imatges obtingudes amb tots dos equips (E-A i E-B) demostren amb nitidesa la presència d'una gran calcificació que sorgeix del pol inferior de la patel·la. Amb tot, la utilització del sistema 3D en l'equip E-B suposa un avantatge, perquè permet veure en 3D la disposició de la calcificació29,30-32,36.
Finalment, en el cas corresponent a una ruptura parcial del lligament lateral intern del genoll (cas 5), l'equip E-B permet observar una zona de lesió en el fascicle profund del lligament que correspon al teixit fibrós de reparació que s'origina com a conseqüència de la disrupció parcial de les fibres. Les imatges de l'E-A descartaven qualsevol sospita de lesió anterior. Aquest aspecte és de gran utilitat en els pacients amb antecedents de lesions lligamentoses afectats de dolor crònic articular24,36,37.
Conclusions
En general, sembla prou evident la millora de la visualització dels teixits tous lesionats amb els nous sistemes integrats en els equips d'ultrasonografia portàtil. I en aquest treball s'han proposat indicadors i paràmetres quantitatius de qualitat de la imatge davant de certs models lesionals freqüents en la traumatologia de l'esport, a fi d'evidenciar-ne les diferències.
En les lesions musculars per contusió es millora la visualització de l'àrea edematosa, però sobretot s'incrementa la definició de les vores de les àrees de sagnat, com també del seu contingut.
En les lesions musculars per distracció, s'hi observa una prolongació quant al temps de visualització de la lesió tant en la persistència de la hipoecogenicitat de la zona lesional com en el manteniment de la hipervascularització.
En les lesions tendinoses hi ha una millor delimitació de les vores de l'àrea hipoecoica de degeneració tendinosa i un coneixement perfecte de l'extensió de la zona lesional per mitjà de l'estudi de visió panoràmica.
Amb el sistema 3D es defineix amb gran exactitud l'abast de la invasió del dipòsit càlcic sobre les fibres tendinoses que l'envolten.
L'estudi ecogràfic del lligament amb lesions cròniques en permet la visualització, especialment de les zones cicatricials en una lesió lligamentosa de 3 mesos d'evolució.
Correspondència: Dr. José Fernando Jiménez Díaz. Campus Tecnológico. Avda. Carlos III, s/n. 45071 Toledo. Espanya.
Correu electrònic: josefernando.jimenez@uclm.es















