L’extrasistòlia ventricular aïllada és una troballa comuna en la prova d’esforç d’alguns esportistes. No hi ha evidència científica extensa sobre el maneig d’aquesta situació, particularment quan es troba en individus asimptomàtics sense antecedents. En el nostre cas, es presenta un esportista asimptomàtic, sense antecedents, de 26 anys, rugbista professional, amb dues extrasístoles ventriculars en la fase de recuperació de la prova d’esforç (una amb imatge de bloqueig de branca dreta i l’altra, esquerra), proves complementàries cardiològiques normals (Holter, ecocardiograma Doppler, estimació de la mitjana del senyal ECG, TC coronària) excepte la troballa de fibrosi transmural del ventricle esquerre en la ressonància cardíaca, i la presa de decisió en relació a l’aptitud esportiva en el context de l’escassa evidència científica disponible en aquests casos.
An isolated premature ventricular contraction is a common finding in some athletes. There is no extensive scientific evidence on the management of this situation, particularly when it is a finding in an asymptomatic individual with no history. The case is presented on a 26 year-old asymptomatic athlete, a professional rugby player, with no history, who had two premature ventricular contractions in the recovery phase of the effort test (one with an image of a right bundle branch block and the other with a left block). Complementary cardiological tests (Holter, Doppler echocardiogram, ECG signal averaged ECG, and coronary tomography) were normal, except for finding a left ventricular transmural fibrosis in the cardiac resonance. There is scarce scientific evidence available for decision-making in relation to sports aptitude in the context of these cases.
Introducció
Actualment l’ús de la ressonància cardíaca amb contrast tardà en la recerca de fibrosi en patologies causants de mort sobtada, com la miocardiopatia hipertròfica1, ha pres un paper important en el diagnòstic i pronòstic. No obstant això, hi ha escassa evidència científica sobre la conducta a seguir quan es troba el contrast tardà en un esportista asimptomàtic i sense cardiopatia coneguda; les sèries publicades d’esportistes de resistència aporten resultats dispars en la incidència, que van des del 0%2 fins al 13%3.
En l’estudi de les causes de mort sobtada, n’hi ha que no són detectades amb els estudis recomanats4 i ho són en l’autòpsia molecular5; això possiblement és degut a què no hi ha un estudi amb una sensibilitat del 100% per detectar aquest conjunt de malalties i, de fet, l’estudi del teixit miocàrdic és possible només amb la ressonància magnètica cardíaca mitjançant la presència de contrast tardà.
L’extrasistòlia ventricular aïllada constitueix una troballa relativament freqüent en la revisió de moltes persones asimptomàtiques. El seu valor pronòstic es relaciona amb la presència o no de cardiopatia estructural, símptomes, comportament durant l’esforç i resposta al desentrenament; i presenta diferent valor pronòstic depenent de la morfologia (ventricle esquerre o dret)6.
Recentment s’ha publicat una cohort de seguiment d’esportistes amb contrast tardà, de 3 anys, amb i sense arítmia ventricular que evidencia el major risc que presenta l’associació d’aquestes dues troballes7; per aquest motiu aquest cas resulta d’especial interès.
Presentació del cas
Home de 26 anys, rugbista professional, entrenament de 10 h setmanals des dels 16 anys, sense antecedents familiars ni personals d’interès, sense hàbits tòxics, amb exploració física i ECG (fig. 1) normal.
Figura 1. ECG basal de l’esportista.
Al cribratge preparticipatiu del nou club li fan una prova d’esforç: FC màxima 180 bpm (FCMT 92%), pressió arterial màxima 210/90 mmHg, METS 17, sense alteracions del segment ST en l’esforç, 2 extrasístoles ventriculars aïllades en la recuperació: una amb imatge de bloqueig de branca dreta (fig. 2) i l’altra amb imatge de branca esquerra.
Figura 2. Prova d’esforç, fase de recuperació, VE imatge BBDFH.
Ecocardiograma Doppler: normal. VE diàstole 53 mm, VE sístole 38 mm, septum 11 mm, paret posterior 11 mm, FEVE 53%, sense alteracions en la contractilitat segmentària, aurícula esquerra 35 mm, aorta 31 mm, vàlvules cardíaques de morfologia i funció normals.
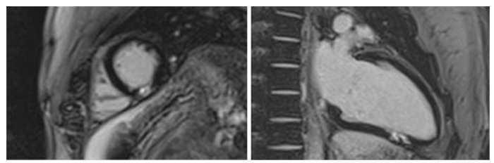
Davant la troballa de l’extrasistòlia ventricular en la prova d’esforç es sol·licita ECG de senyal mitjana: normal. Holter cardíac: ritme sinusal. FC mitjana: 66 bpm, 2 extrasístoles ventriculars en 24 h. Tomografia coronària: artèries epicàrdiques sense lesions coronàries i ressonància cardíaca amb adenosina: absència d’isquèmia induïble, FEVE 60%, àrea focal de contrast tardà transmural en el segment mitjà inferior del ventricle esquerre (fig. 3).
Figura 3. Ressonància cardíaca, contrast tardà transmural.
Evolució
Amb aquestes troballes l’esportista inicialment va ser desqualificat per a la pràctica professional, però en una segona opinió se’l considerà apte per continuar fent esport competitiu. Actualment es troba asimptomàtic i sense presentar situacions arítmiques en els Holter 24 h i proves d’esforç que s’han realitzat cada 6 mesos en els 3 anys de seguiment.
Discussió
La desqualificació esportiva és un fet poc freqüent que es produeix en un de cada 300 esportistes8, però hi ha sèries en què s’arriba al 2%9. La desqualificació genera en els esportistes una frustració en les expectatives personals i un potencial perjudici psicològic quan la desqualificació es fa de forma inadequada4.
La troballa d’extrasístoles ventriculars en una prova d’esforç és un fet relativament freqüent, però la correlació amb una patologia estructural o amb imprevistos en el seguiment semblaria estar relacionada amb la presència de més de 10 extrasístoles durant tota la prova10. En relació al cas clínic que es descriu, presentà extrasístoles en la fase de recuperació (no en presentà en l’esforç màxim) amb acoblament molt tardà, tots dos de caràcter benigne6, si bé aquests criteris són incerts en presència de fibrosi, ja que no hi ha evidència en aquests casos.
L’únic estudi de cohort que analitza el cas de l’arítmia ventricular en el context de troballa de fibrosi cardíaca amb patró que involucra l’epicardi suggereix que aquests esportistes s’han de desqualificar de l’esport ja que el 22% va presentar imprevistos en el seguiment a 3 anys (mort sobtada, taquicàrdia ventricular o implant de desfibrillador automàtic)7, però l’estudi no esmenta que els 6 individus que van presentar un imprevist en el seguiment havien tingut símptomes o arítmia ventricular complexa en el Holter previ. A causa d’això, entenem que en l’actualitat no hi ha prou evidència científica per determinar si la presència de contrast tardà en una ressonància cardíaca es pot considerar un marcador de risc en cas d’absència de simptomatologia i arítmies complexes, i si aporta un valor afegit a la clínica y Holter ECG en el cas de extrasístoles ventriculars aïllades durant la pràctica de una proba de esforç en un individu asimptomàtic sense cardiopatia estructural.
Respecte a l’estudi electrofisiològic, si bé se n’ha descrit la utilitat com a pronòstic en presència de símptomes11 o arítmia ventricular complexa12, no hi ha evidència demostrada en la indicació per avaluar el potencial arítmic després de la detecció d’extrasístoles ventriculars aïllades en presència de fibrosi.
En conclusió, davant la troballa d’extrasistòlia ventricular aïllada en la prova d’esforç d’un esportista fora indicat realitzar una segona línia d’estudi, però en esportistes asimptomàtics i sense arítmies complexes la troballa aïllada de fibrosi miocàrdica no hauria de ser una causa de desqualificació esportiva amb l’evidència científica existent fins avui.
Rebut el 24 de gener de 2017;
acceptat el 29 de gener de 2017
* Autor per a correspondència.
Correu electrònic: grazioli@clinic.ub.es (G. Grazioli).






