El tendón plantar delgado está implicado en algunos casos de tendinopatía de Aquiles resistente a la carga. El tendón se desplaza cerca de la porción media del tendón de Aquiles antes de su inserción en la región medial del calcáneo, aunque existen variaciones anatómicas en su desplazamiento y en su inserción. La sospecha clínica de la afectación del plantar incluye dolor persistente en la región medial del Aquiles que no responde a un programa de rehabilitación y las imágenes revelan un tendón plantar engrosado y/o tendinosis medial focal del Aquiles. Los mecanismos potenciales incluyen fuerzas de compresión o cizallamiento entre el tendón de Aquiles y el plantar delgado. El tratamiento inicial debe consistir en un programa de carga modificado que evite la carga en el tramo final. Los casos resistentes pueden ser susceptibles de extirpación quirúrgica del plantar delgado que han demostrado buenos resultados clínicos a corto y a largo plazo, aunque la evidencia se limita a series de casos. Los métodos percutáneos son prometedores pero requieren más estudios que demuestren su validez real. © 2018 FUTBOL CLUB BARCELONA. Publicado por Elsevier España, S.L.U. Todos los derechos reservados.
Plantaris tendon is implicated in some cases of load-resistant Achilles tendinopathy. The tendon courses close to the medial Achilles tendon mid-portion prior to insertion onto the medial calcaneus, although there is variation in course and insertion. Clinical suspicion of plantaris involvement includes persistent medial Achilles pain unresponsive to a rehabilitation programme and imaging revealing a thickened plantaris tendon and/or focal medial Achilles tendinosis. Potential mechanisms include compression or shearing forces between the plantaris and Achilles tendons. Initial treatment should consist of a modified loading programme avoiding end-range loading. Resistant cases may be amenable to surgical excision of the plantaris demonstrating good clinical outcomes in the short and long term, although the evidence is limited to case series. Percutaneous methods show promise but require further evaluation. © 2018 FUTBOL CLUB BARCELONA. Published by Elsevier España, S.L.U. All rights reserved.
El dolor crónico de la porción media de la tendinopatía de Aquiles es un estado común en atletas corredores y saltadores, pero también en personas mayores no deportistas1. Representa la patología más común entre los pacientes que reportan dolor persistente en la región del tendón de Aquiles2. Además, es una de las tendinopatías más comunes que se presentan en una cohorte de población general3. Como la etiología y la fisiopatología no se entienden completamente, el tratamiento de esta afección puede ser un reto4. Si bien la mayoría de los casos clínicos mejoran con los programas de carga, algunos pacientes son resistentes a la carga y pueden ser sometidos a intervenciones con menos eficacia y basadas en la evidencia. Recientemente, varios autores han sugerido que la interferencia del tendón plantar puede estar implicada en algunos de estos casos resistentes a la carga5-7.
¿Qué es el tendón plantar?
El tendón plantar se origina en el músculo plantar profundo y medial hacia la cabeza lateral del gastrocnemio8. El tendón comienza en la pantorrilla proximal y pasa medialmente entre el sóleo y el gastrocnemio9 y, finalmente, discurre cerca de la porción media del tendón de Aquiles antes de insertarse regularmente en el calcáneo medial (fig. 1)9. El recorrido y la inserción del tendón plantar, pero también su longitud y su anchura, pueden ser muy variables entre individuos10. Los estudios con cadáveres sobre un gran número de especímenes encontraron que la mayoría de los tendones plantares se insertan en la parte medial o anteromedial del calcáneo, pero algunos se insertan directamente en el tendón de Aquiles o en la fascia profunda11,12. Sin embargo, potencialmente, puede terminar en todas las estructuras a lo largo de su curso13.
Figura 1. Curso del tendón plantar en la pantorrilla.
La variación en el curso y en la inserción puede desempeñar un papel importante en la etiología de la porción media de la tendinopatía de Aquiles (véase más adelante). Aunque sea usado como un músculo importante para agarrar objetos con los pies en los primates, se cree que el tendón plantar es menos funcional en los humanos9. El músculo es más activo en la flexión plantar cuando la rodilla está completamente extendida, pero contribuye poco a la potencia relativa de las extremidades inferiores en comparación con los músculos gastrocnemio o sóleo14. Sin embargo, debido, comparativamente, a su gran número de husos musculares, se cree que sirve como órgano propioceptivo para otros flexores plantares15.
¿Qué evidencia existe de la implicación de la porción media en la tendinopatía de Aquiles?
Existe evidencia clínica creciente, en estudios de imagen y morfológicos, que implica al tendón plantar en algunos casos de tendinopatía de Aquiles persistente.
Varios autores han involucrado al tendón plantar en casos clínicos de dolor intratable del tendón de Aquiles. Steenstra y van Dijk5 fueron los primeros en describir esta asociación clínica en tres casos, y propusieron que algunos casos de tendinopatía de Aquiles persistente tenían tendón de Aquiles y tendón plantar estrechamente asociados y rodeados de tejido inflamado. De manera similar, en una serie mayor de casos, Alfredson6 encontró que algunos casos de tendinopatía de Aquiles intratable tenían un tendón plantar estrechamente adherido al tendón de Aquiles medial (fig. 2). En algunos casos el tendón plantar estaba invaginado dentro de la pared medial del Aquiles con una infiltración de grasa copiosamente vascularizada entre los dos tendones6,16.
Figura 2. Tendón plantar adherido estrechamente al Aquiles medial.
Las imágenes han demostrado una posible asociación entre el tendón plantar y el dolor de la porción media de la tendinopatía de Aquiles. Un estudio reciente que comparaba los hallazgos macroscópicos con los hallazgos clínicos y los de imagen encontró que una alta proporción de casos con sospecha de afectación del tendón plantar revelaba un área focal de hipoecogenicidad y aumento del flujo sanguíneo en la porción media del tendón de Aquiles16. Estos cambios focales en la porción media del tendón de Aquiles correspondieron a la posición del tendón plantar durante la escisión quirúrgica. Con una modalidad de nueva imagen denominada Ultrasound Tissue Characterisation (UTC) en casi todos los casos se encontraron áreas focales de ecopíxeles rojos y negros que representan una matriz desorganizada en el tendón de Aquiles medial. Curiosamente, todos estos casos tenían sensibilidad en el aspecto medial del tendón de Aquiles16.
Además, los estudios morfológicos han demostrado una asociación entre la patología plantar y la posible nocicepción periférica. En una serie de casos que examinaron tendones extirpados de pacientes con tendinopatía plantar clínicamente verificada, asociada a la porción media de la tendinopatía de Aquiles, todas las muestras de tendones plantares extirpados mostraron cambios morfológicos similares a la tendinosis que incluye desorganización de las fibras de colágeno, morfología anormal de tenocitos y aumento de la vascularización del tendón17. Además, los estudios inmunohistoquímicos mostraron una inervación sensorial y simpática con el tendón plantar y el tejido conectivo peritendinoso entre los tendones de Aquiles y plantar que respaldan la hipótesis que estas estructuras podrían desempeñar un papel en la nocicepción18.
Cuál es el mecanismo potencial de la tendinopatía asociada al plantar?
Si bien se desconoce el mecanismo de la tendinopatía de Aquiles asociada al plantar, estudios observacionales y biomecánicos recientes han arrojado luz sobre posibles factores etiológicos.
En individuos normales, los tendones de Aquiles y plantar se colocan en el mismo paratendón y se deslizan libremente. La anchura anormal y/o el engrosamiento del tendón plantar en combinación con la aposición cercana de este tendón a la porción media del Aquiles podrían influir en la compresión19 y/o en fuerzas de cizallamiento20 que conducen a una inflamación peritendinosa o tendinopatía localizada. Algunos autores sugieren que el proceso inflamatorio finalmente puede originar una adherencia peritendinosa en los tendones, lo que restringe cualquier deslizamiento adicional21. Esta hipótesis está respaldada por estudios que demuestran el movimiento diferencial multiplanar entre los tendones plantar y de Aquiles durante la flexión plantar pasiva y la dorsiflexión22 y el aumento de las fuerzas compresivas entre los dos tendones en diferentes posiciones de la articulación del tobillo23. Además, el tendón plantar tiene una mayor rigidez intrínseca que el tendón de Aquiles en especímenes normales de cadáveres24, lo que respalda aún más la posibilidad de que el plantar esté sujeto al tendón de Aquiles bajo tensión.
Además de las diferencias de las propiedades biomecánicas, las diferencias anatómicas en el curso y en la inserción del tendón plantar pueden contribuir al desarrollo de la patología. Un estudio reciente mostró un tendón plantar en todas las muestras de 107 cadáveres, pero describió la dificultad de definir el tendón plantar en algunos casos porque el tendón estaba firmemente adherido al tendón de Aquiles10. Además, hubo una gran variabilidad en el curso y en la inserción del tendón plantar con la inserción del tendón en 9 ubicaciones diferentes. Por otra parte, ciertas variantes anatómicas podrían predisponer a una mayor interferencia entre el plantar y el tendón de Aquiles, dando lugar a mayores fuerzas de compresión entre los dos tendones21.
En resumen, los factores biomecánicos y anatómicos del tendón plantar podrían conducir a una mayor compresión y/o fuerzas de cizallamiento entre el plantar y los tendones plantar y de Aquiles que predisponen a la tendinopatía de Aquiles. Se requieren investigaciones adicionales para determinar la importancia de estos factores en el desarrollo del plantar asociado a la porción media de la tendinopatía de Aquiles.
¿Cuáles son las características diagnósticas importantes de la implicación del tendón plantar en la porción media de la tendinopatía de Aquiles?
Existe poca información sobre la presentación clínica o las características diagnósticas del plantar asociadas a la tendinopatía de Aquiles. No obstante, algunos estudios han intentado definir características específicas basadas en hallazgos clínicos y de imagen.
La presentación clínica de la tendinopatía asociada al plantar se ha descrito como un dolor del tendón de Aquiles relacionado con la carga que se encuentra principalmente en el lado medial del tendón de Aquiles. En un estudio reciente16, que utilizó la exploración quirúrgica para verificar la estrecha relación entre el tendón plantar y el tendón de Aquiles, la mayoría de los casos reportaron dolor y sensibilidad en la porción media del tendón de Aquiles, pero rara vez en la lateral. Otros autores han confirmado que el dolor de la porción media del tendón de Aquiles sugiere implicación del tendón plantar5,6. Un estudio de caso describió un chasquido o un golpe seco en el medial del Aquiles25. El dolor del Aquiles medial que no responde a un programa de rehabilitación integral puede ser sospechoso de la participación del plantar y requiere una valoración e investigaciones suplementarias26.
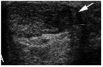
La variación en el curso y en la inserción puede dificultar la visualización del tendón plantar. No obstante, las imágenes pueden ayudar a la identificación del tendón plantar y a las patologías locales asociadas. Un estudio que utilizó ultrasonido convencional 2D y flujo sanguíneo reveló un tendón plantar engrosado, una tendinosis de Aquiles medial focal y aumento del flujo sanguíneo en la mayoría de los casos de afectación del plantar verificada quirúrgicamente (fig. 3)16. Además, al utilizar una nueva técnica de imagen denominada UTC, todos estos casos mostraron una estructura de colágeno desorganizada representada por ecopíxeles rojos y negros en la porción media del tendón de Aquiles medial (fig. 4), que es distinta de los cambios en la porción media habitual de la tendinopatía de Aquiles, donde tradicionalmente ocurren en el aspecto ventral16.
Figura 3. Plantar engrosado en ultrasonido 2D (flecha).
Figura 4. Desorganización medial en la UTC.
¿Cómo gestionar la tendinopatía de la porción media del tendón de Aquiles asociada al tendón plantar?
La mayoría de casos de la porción media de la tendinopatía de Aquiles responden a un programa de carga exhaustivo y estructurado. Los programas de resistencia excéntricos, tanto lentos como pesados27,28, han demostrado que son efectivos para reducir el dolor y mejorar la función de la porción media de la tendinopatía de Aquiles y volver a la competición. Sin embargo, se desconoce si la tendinopatía, asociada al plantar como un subgrupo, responde peor a los programas de carga. Anecdóticamente, se pensó que la carga en la flexión dorsal aumentaba las fuerzas de compresión entre los tendones plantar y de Aquiles y reducía la capacidad de respuesta a los programas de carga en comparación con los casos sin compromiso del plantar. Sin embargo, un estudio cadavérico recientemente publicado encontró que las presiones eran más altas en la flexión plantar que en la flexión dorsal y más bajas en una posición neutral del tobillo, lo que contradice esta hipótesis23. Un programa más eficaz de la porción media de la tendinopatía de Aquiles asociada a la plantar podría implicar una gran carga del tendón en la posición media del tobillo, aunque se precisan estudios adicionales para confirmar la aplicación clínica de estudios biomecánicos recientes.
La escisión quirúrgica del plantar ha sido realizada por varios grupos con buenos resultados (fig. 5). Alfredson6 extirpó el tendón plantar en pacientes con sospecha de compromiso plantar en la porción media de la tendinopatía de Aquiles. La escisión se realizó con anestesia local y se combinó con un raspado ventral del tendón de Aquiles medial. La mayoría de los casos se mostraron satisfechos con el tratamiento 12 meses después del procedimiento28 y un estudio reciente (pero no publicado) confirmó buenos resultados en un seguimiento a largo plazo (2 a 13 años). Otros grupos también han descrito buenos resultados utilizando métodos abiertos similares7,29,30 y enfoques endoscópicos31.
Figura 5. Escisión quirúrgica del tendón plantar.
Se desconoce el mecanismo exacto por el cual la escisión quirúrgica tiene un efecto clínico positivo. Los estudios histopatológicos han demostrado nervios simpáticos sensoriales dentro del tendón del plantar y grasa peritendinosa entre los tendones plantar y de Aquiles18. Por lo tanto, la extirpación del tendón plantar y el raspado de la grasa pueden eliminar los nervios sensoriales y reducir el impulso nociceptivo y la percepción del dolor. Alternativamente, la extirpación del tendón plantar puede reducir las fuerzas de cizallamiento o compresión en el Aquiles medial y la posterior tendinosis inducida por compresión. Esta teoría está respaldada por estudios que demuestran una mejora en la estructura del tendón en la UTC después de la escisión del tendón plantar29,32. No obstante, como el efecto de la cirugía se puede relacionar con otros factores que incluyen un efecto placebo, se requieren estudios de nivel superior, como los ensayos clínicos controlados que utilizan un control simulado para respaldar el uso de la cirugía en casos de plantar resistente a la carga.
Aunque estos procedimientos son mínimamente invasivos, la cirugía del tendón plantar expone a los pacientes a ciertos riesgos, y el 2% de los casos desarrollaron infección o dehiscencia de la herida2. Recientemente se ha propuesto un método percutáneo guiado por ultrasonido. Smith y Woods33 confirmaron la incisión exitosa de un tendón plantar en 20 muestras de cadáveres con técnica percutánea guiada por ultrasonido y anestesia local. Si la incisión es suficiente para mejorar los resultados clínicos o se precisan técnicas combinadas que incluyan raspado o la extirpación completa del plantar, requiere un análisis adicional.
Conclusión
El tendón plantar está implicado en un subgrupo de pacientes con tendinopatía de la porción media del tendón de Aquiles. Estudios clínicos y morfológicos apuntan al tendón plantar como un posible factor etopatológico en algunos casos. Un posible mecanismo de interferencia es a través de fuerzas de compresión o cizallamiento que conducen a una inflamación peritendinosa y/o una tendinopatía de Aquiles inducida por compresión. El diagnóstico se apoya en los hallazgos del dolor del tendón de Aquiles medial relacionado con la carga, la hiperalgesia local de Aquiles medial y la ecografía que demuestra un tendón plantar agrandado y una tendinosis de Aquiles medial focal. La UTC también puede ayudar a confirmar el diagnóstico. El tratamiento inicial debe ser conservador e involucrar una carga pesada, y un estudio biomecánico reciente sugiere que podría ser más efectiva la carga de un rango medio. La escisión quirúrgica del tendón plantar ha demostrado una mejoría en los hallazgos clínicos y de imagen después de la escisión del tendón plantar, pero se requieren estudios de mayor nivel para demostrar su efectividad. La incisión percutánea del tendón plantar es una posible alternativa a la escisión abierta, pero la efectividad clínica requiere ser evaluada.
Conflicto de intereses
Los autores declaran que no tienen ningún conflicto de intereses.
Recibido el 12 de noviembre de 2018;
aceptado el 19 de noviembre de 2018
* Autor para correspondencia.
Correo electrónico: lorenzo.masci@puresportsmed.com (L. Masci)








