INTRODUCCIÓ
El lipoma intraossi és una lesió adiposa benigna del teixit músculo-esquelètic. La seva incidència és d'1 de cada 1.000 tumors ossis, habitualment asimptomàtic i més freqüent en homes que en dones. El lipoma intracalcani sol situar-se concretament al coll-cos del calcani, també anomenat triangle de Ward per la seva poca densitat trabecular1.
L'etiologia de la lesió no està clarament definida, però sol derivar-se després d'una reacció posttraumàtica, després d'un infart ossi o bé ser directament un autèntic tumor benigne2-6.
CAS CLÍNIC
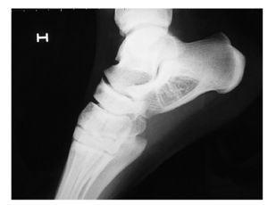
Es presenta el cas d'un pacient varó de 28 anys d'edat jugador de bàsquet professional. En la revisió mèdica prèvia al seu fitxatge es palpa lleu abombament a la vora lateral del calcani esquerra. El jugador no refereix antecedents d'interès i es troba completament asimptomàtic. Es realitza estudi radiològic simple en la mateixa revisió i s'observa imatge radio-lluminosa al coll de calcani amb trabècules òssies al seu interior (fig. 1).
Figura 1 Lesió radiolúcida de vores ben definides amb trabècules gruixudes al seu interior localitzada al cos-coll de calcani.
L'estudi radiològic es completa amb la realització de ressonància magnètica (RM) utilitzant plans sagitals, axials i coronals en T1, T2 i en short time inversion recovery (STIR) (fig. 2). La imatge STIR és molt útil en aquest cas, ja que suprimeix el senyal del teixit adipós normal.
Figura 2 Imatges de RM en tall axial T2 (A), tall axial STIR (B), tall coronal T1 (C) i coronal T2 fat sat (D). Lesió de senyal mixt en coll-cos de calcani de vores circumscrites de 33,4 x 3,5 x 2 cm. S'observen àrees de senyal adipós barrejades amb àrees de calcificació o ossificació d'aspecte trabecular en absència de senyal. S'observa també la presència d'una zona central d'aspecte quístic.
Un cop realitzat el diagnòstic es realitza tomografia computeritzada (TC) per tal de valorar l'estat de les corticals òssies (fig. 3).
Figura 3 Imatges coronal i sagitals en la TC.
La TC objectiva una lesió osteolítica amb àrees de densitat semblant al teixit adipós i extenses calcificacions o ossificacions. Les corticals es troben perfectament conservades i sense risc de fractura.
El diagnòstic radiològic complet defineix la lesió com una formació radiolluent de vores lobulades, escleròtiques ben definides i que ocupen el coll i el cos del calcani amb una mida de 2,5 x 3 x 3,2 cm. La seva densitat és heterogènia amb predomini d'àrees d'aspecte semblant al teixit adipós. Aquesta lesió es correspon amb un lipoma intraossi del calcani estadi III de Milgram7,8. La classificació de Milgram (1987)5,7,8 agrupa els lipomes intracalcanis en els 3 estadis següents:
- Estadi I: lesions que contenen teixit adipós sense necrosi i que provoquen reabsorció trabecular.
- Estadi II: lesions que contenen teixit adipós normal i necròtic amb regions distròfiques calcificades.
- Estadi III: canvis involutius amb extenses zones de necrosi adiposa, formacions quístiques, calcificacions i formació d'os nou.
Estadi I per imatge
Aparença radiològica superposable al quist ossi simple amb una extensa àrea radiolluent ben circumscrita amb mínima remodelació òssia del calcani. En la TC en algoritme tou i ossi pot demostrar-se el seu baix coeficient d'atenuació característica del teixit gras de -100 a -60 UH. En aquests casos la RM posa de manifest una lesió del senyal isointens en el teixit gras en totes les seqüències.
Estadi II per imatge
Presència de calcificacions o ossificacions centrals o perifèriques en una lesió radiolluent. L'existència d'una calcificació o ossificació central o anular en una lesió radiolluent o hipodensa en el collcos del calcani és pràcticament patognomònica de lipoma intraossi.
La TC demostra amb una major nitidesa la presència d'aquestes calcificacions així com la seva localització i la presència d'aquestes àrees de densitat grassa. Les calcificacions en la RM s'expressen com a àrees d'absència de senyal.
Estadi III per imatge
La isquèmia i la involució progressiva determinen una major proliferació fibrosa i degeneració quística que caracteritzen l'estadi III de Milgram, troballes que es corresponen perfectament amb el cas presentat9.
DISCUSSIÓ
Com s'ha comentat anteriorment el lipoma intraossi és una lesió adiposa benigna del teixit músculo-esquelètic. La seva incidència el situa com un dels tumors ossis menys freqüents (0,1-2,5%), tot i que aquest fet es podria deure a que, al ser asimptomàtic, passa desapercebut en molts casos2,3,5,10. La majoria són asimptomàtics, però quan presenta simptomatologia la més habitual és el dolor (50%). Acostumen a presentar-se en el coll del fèmur (35%), en la tíbia (13%), en el peroné (10%) i en el calcani (8%).
Acostuma a aparèixer entre els 30 i els 60 anys, tot i que no existeix un consens clar sobre l'edat més freqüent d'aparició1,4,10,11.
Actualment la majoria d'articles referents als lipomes intracalcanis que es troben en la literatura fan referència a casos clínics concrets. Adams et al6 descriuen el lipoma intracalcani en una pacient de 60 anys que presentava dolor en el taló de 8 mesos d'evolució. El diagnòstic definitiu es va fer amb RM fat sat i el tractament escollit va ser conservador, ja que el tractament quirúrgic en absència de fractura no es considera efectiu. David-West12 descriu igualment un lipoma intracalcani en una altra pacient de 60 anys diagnosticada en una radiografia simple feta de manera rutinària. La pacient es va mantenir asimptomàtica en tot moment i no va precisar cap tipus de tractament. Ince et al12 van reportar el cas d'un pacient varó de 58 anys amb una història de 4 mesos de dolor en el peu sense traumatisme previ. Es va confirmar el diagnòstic de lipoma mitjançant la radiologia simple i la RM (seqüències STIR i fat sat). En aquest cas es va optar pel tractament quirúrgic amb curetatge i injert ossi. Radl et al2 van analitzar 29 casos de lipomes intraossis, 10 dels quals estaven situats en el calcani en pacients d'edats entre 20 i 73 anys. En 8 casos el diagnòstic es va confirmar per radiologia simple i TC i en els altres 20 casos es va realitzar amb radiologia simple i RM. El cas restant va ser diagnosticat únicament amb la radiologia simple. El tractament en tots els casos va ser quirúrgic amb resultats satisfactoris. Goto et al3 van estudiar 12 pacients amb lipomes intraossis 7 dels quals eren intracalcanis i en un cas bilateral. La RM i/o la TC van confirmar el diagnòstic i el tractament en 10 dels casos va ser conservador i en els 2 restants es va realitzar cirurgia i injert. En cap dels estudis analitzats es va donar el cas de transformació maligna, fractura patològica o fractura traumàtica.
Les proves d'imatge són bàsiques pel diagnòstic. Múltiples estudis2,3,6,7,10,13,14 valoren com les proves més específiques pel diagnòstic del lipoma intracalcani la radiologia simple i la RM, especialment amb la seqüència STIR i fat sat. També es considera útil la utilització de la gammagrafia òssia com a control d'una hipotètica malignització. La malignització es manifestaria amb una captació en la gammagrafia òssia amb integritat de les corticals, però també cal tenir en compte que es podria manifestar en forma de fractura patològica.
En els casos asimptomàtics i degut al mínim risc de fractures traumàtiques i a que no s'han descrit fractures patològiques, s'opta per un tractament plenament conservador. En casos simptomàtics es fa curetatge amb injert ossi2,3,10,15.
D'igual manera, les recurrències i les transformacions malignes són extremadament poc freqüents5,6,12,13,16.
Entenem que aquest cas és especialment interessant perquè es tracta d'un esportista professional i a més d'un esport com el bàsquet, on es produeixen una gran quantitat d'impactes sobre el peu.
La troballa d'aquest lipoma intracalcani en la revisió mèdica del fitxatge d'un esportista professional obliga a realitzar una sèrie de consideracions que a més s'han de fer amb rapidesa.
La bibliografia existent és escassa i evidentment els casos descrits s'allunyen molt del nostre cas.
D'entrada podem descartar 3 punts:
- Aquest jugador ha rebut una gran quantitat d'impactes directes sobre aquesta zona durant tota la seva carrera esportiva i mai ha tingut cap símptoma.
- Aquest lipoma es troba en l'última fase de l'estat evolutiu segons la classificació de Milgram i probablement aquest estadi sigui el de major protecció davant una possible fractura patològica.
- No estan descrites fractures patològiques.
Amb aquests 3 punts es decideix fitxar al jugador. Es va proposar estudi podològic i ortesi plantar òptima. També es va proposar com a control de factors de risc de fractura patològica el realitzar un estudi de densitometria òssia de la zona concreta però els experts consultats comenten que els estudis objectiven un elevat nombre de falsos positius amb aquesta tècnica y poca especificitat sobre aquest os.
Com a condicions a tenir en compte posteriorment es va decidir un pla d'actuació davant de possibles problemes que es poguessin presentar durant la temporada. Amb aquest pla es va parlar amb el jugador i evidentment amb el club que és qui ha d'acceptar els risc i aprovar els actes a realitzar. En aquest sentit la nostra proposta va ser la següent:
- Si el jugador començava a manifestar símptomes clars, fonamentalment dolor, s'aconsellaria aturar els entrenaments i repetir les proves diagnòstiques. Com que s'entén que aquest símptoma està clarament relacionat amb el possible risc de fractura patològica, es proposaria una intervenció quirúrgica preventiva.
- En el cas de que el jugador presentés una fractura patològica durant el transcurs de la temporada, extremadament poc freqüent i no descrit però possible, la nostra proposta també seria la intervenció quirúrgica consistent en buidament del lipoma, ompliment amb ós esponjós o bé substàncies en forma fosfat mono o tricàlcic en forma de pasta injectades in situ que proporcionin integritat estructural i mecànica en la fractura, conjuntament amb osteosíntesi mb placa de baix relleu per calcani, realitzant la corresponent anatomia patològica de qualsevol mostra obtinguda. Això permet la rehabilitació precoç i l'escurçament del temps de discapacitat, que aproximadament seria 2 mesos sense recolzar, i 2 mesos de readaptació fins a tornar a competir.
- Per últim, si el jugador acaba la temporada sense molèsties es repetirien novament les proves diagnòstiques (radiologia simple, RM, TC i gammagrafia), i si no existissin canvis significatius la proposta seria seguir la filosofia preventiva per la qual es va acceptar el fitxatge, és a dir, controls seriats cada 6 mesos i tractament conservador.
En definitiva, de moment el cas no està tancat i el jugador segueix jugant sense molèsties i esperem que durant molts anys.
Correspondència:
Dr. Gil Rodas. Avda. Arístides Maillor, s/n.
08440 Barcelona. Espanya.
Correu electrònic: gil.rodas@fcbarcelona.cat






