INTRODUCCIÓN
El lipoma intraóseo es una lesión adiposa benigna del tejido musculoesquelético. Su incidencia es de 1 de cada 1.000 tumores óseos, es habitualmente asintomático y más frecuente en hombres que en mujeres. El lipoma intracalcáneo en concreto suele situarse en el cuello-cuerpo del calcáneo, también denominado triángulo de Ward por su poca densidad trabecular1.
La etiología de la lesión no está claramente definida pero suele derivar tras una reacción postraumática, tras un infarto óseo o ser directamente un auténtico tumor benigno2-6.
CASO CLÍNICO
Se presenta el caso de un paciente varón de 28 años de edad jugador profesional de baloncesto. En la revisión médica previa a su fichaje se palpa un ligero abultamiento en el borde lateral del calcáneo izquierdo. El jugador no refiere antecedentes de interés y se encuentra completamente asintomático.
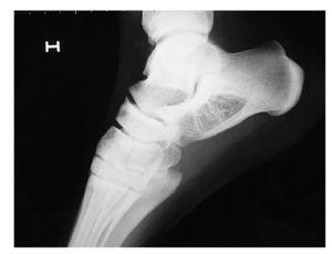
Se realiza estudio radiográfico simple en la misma revisión y se observa imagen radiolucente en cuello de calcáneo con trabéculas óseas en su interior (fig. 1).
Figura 1 Lesión radiolúcida de bordes bien definidos con trabéculas gruesas en su interior localizada en el cuerpo-cuello de calcáneo.
El estudio radiológico se completa con la realización de resonancia magnética (RM) utilizando planos sagitales, axiales y coronales en T1, T2 y en short time inversion recovery (STIR) (fig. 2). La imagen STIR resulta muy útil en este caso, ya que suprime la señal del tejido adiposo normal.
Figura 2 Imágenes de RM en corte axial T2 (A), corte axial STIR (B), corte coronal T1 (C) y corte coronal T2 fat sat (D). Lesión de señal mixta en el cuello-cuerpo del calcáneo de bordes circunscritos de 33,4 x 3,5 x 2 cm en la que se observan áreas de señal adiposa entremezcladas con áreas de calcificación u osificación de apariencia trabecular con ausencia de señal. Asimismo se observa la presencia de una zona central de apariencia quística.
Dado el diagnóstico, se realiza tomografía computarizada (TC) para valorar especialmente el estado de las corticales óseas (fig. 3).
Figura 3 Imágenes coronal y sagitales en la TC.
La TC muestra una lesión osteolítica con áreas de densidad similar al tejido adiposo y extensas calcificaciones u osificaciones. Las corticales se encuentran perfectamente conservadas y sin riesgo de rotura.
El diagnóstico radiológico completo define la lesión como una formación radiolúcida de bordes lobulados y escleróticos bien definidos que ocupan el cuello y el cuerpo del calcáneo, con un tamaño de 2,5 x 3 x 3,2 cm. Su densidad es heterogénea, con predominio de áreas de señal similar al tejido adiposo. Esta lesión se corresponde con un lipoma intraóseo del calcáneo estadio III de Mil-gram7,8. La clasificación de Milgram (1987)5,7,8 cataloga los lipomas intracalacáneos en los 3 estadios siguientes:
- Estadio I: lesiones que contienen tejido adiposo sin necrosis y que causan reabsorción trabecular.
- Estadio II: lesiones que contienen tejido adiposo normal y necrótico con regiones distróficas calcificadas.
- Estadio III: cambios involutivos con extensas zonas de necrosis adiposa, formaciones quísticas, calcificaciones y formación de hueso nuevo.
Estadio I por imagen
Apariencia radiológica superponible al quiste óseo simple con una extensa área radiolúcida bien circunscrita con mínima remodelación ósea del calcáneo. En la TC con algoritmo blando y óseo puede demostrarse su bajo coeficiente de atenuación característico del tejido graso de -100 a -60 UH. En estos casos la RM pone de manifiesto una lesión de señal isointensa al tejido graso en todas las secuencias.
Estadio II por imagen
Presencia de calcificaciones u osificaciones centrales o periféricas en una lesión radiolúcida. La existencia de una calcificación u osificación central o anular en una lesión radiolúcida o hipodensa en el cuerpo-cuello del calcáneo es prácticamente patognomónica de lipoma intraóseo.
La TC demuestra con mayor nitidez la presencia de estas calcificaciones así como su localización y la presencia de estas áreas de densidad grasa. Las calcificaciones en RM vienen expresadas como áreas de ausencia de señal.
Estadio III por imagen
La isquemia y la involución progresivas determinan una mayor proliferación fibrosa y degeneración quística que caracterizan el estadio III de Milgram, hallazgos que se corresponden perfectamente con el caso presentado9.
DISCUSIÓN
Como hemos comentado, el lipoma intraóseo es una lesión adiposa benigna del tejido musculoesquelético. Su incidencia lo sitúa como uno de los tumores óseos menos frecuentes (0,1-2,5%), a pesar de que este hecho podría deberse a que, al ser asintomático, pasa inadvertido en muchos casos2,3,5,10. La mayoría son asintomáticos, pero cuando presenta sintomatología el elemento más frecuente es el dolor (50%). Suelen localizarse en el cuello del fémur (35%), en la tibia (13%), en el peroné (10%) y en el calcáneo (8%).
Suelen aparecer entre los 30 y los 60 años, aunque no existe un claro consenso acerca de la edad más frecuente de aparición1,4,10,11.
La mayoría de artículos referentes a los lipomas intracalcáneos que se encuentran en la literatura hacen referencia a casos clínicos concretos. Adams et al6 describen el lipoma intracalcáneo en una paciente de 60 años que presentaba dolor en el talón de 8 meses de evolución. El diagnóstico definitivo se realizó con RM fat sat y el tratamiento elegido fue conservador, ya que el tratamiento quirúrgico en ausencia de fractura no se considera efectivo. David-West12 describe igualmente un lipoma intracalcáneo en otra paciente de 60 años de edad diagnosticado en una radiografía simple hecha de manera rutinaria. La paciente estuvo asintomática en todo momento y no precisó tratamiento alguno. Ince et al13 comunican el caso de un paciente varón de 58 años de edad con una historia de 4 meses de dolor en el pie sin traumatismo previo. El diagnóstico de lipoma se confirmó mediante la radiología simple y la RM (secuencias STIR y fat sat). En este caso el tratamiento realizado fue quirúrgico mediante curetaje e injerto óseo. Radl et al2 analizaron 29 casos de lipomas intraóseos, 10 de los cuales se encontraban en el calcáneo en pacientes de edades comprendidas entre los 20 y los 73 años. En 8 casos el diagnóstico fue mediante radiología simple y TC, y en 20 casos se realizó con radiología simple y RM. En el caso restante el diagnóstico se realizó únicamente mediante radiología simple. El tratamiento en todos ellos fue quirúrgico, con resultados satisfactorios. Goto et al3 estudiaron 12 pacientes con lipomas intraóseos, 7 de los cuales eran intracalcáneos y, en un caso, bilateral. La RM y/o la TC confirmaron el diagnóstico; en 10 de los casos el tratamiento fue conservador, y en 2 se realizó cirugía con curetaje e injerto. En ninguno de los estudios analizados se dio el caso de transformación maligna, de fractura patológica o de fractura traumática.
Las pruebas de imagen son básicas para el diagnóstico. Múltiples estudios2,3,6,7,10,13,14 consideran que las pruebas más específicas para el diagnóstico del lipoma intracalcáneo son la radiología simple y la RM, especialmente con la secuencia STIR y fat sat. También se considera útil la utilización de la gammagrafía ósea como control de una hipotética malignización. La malignización se manifestaría con una captación en la gammagrafía ósea con integridad de las corticales, pero también hay que tener en cuenta que se podría manifestar en forma de fractura patológica.
En los casos asintomáticos y debido al mínimo riesgo de fracturas traumáticas y a que no se han descrito fracturas patológicas, se opta por un tratamiento plenamente conservador. En casos sintomáticos se realiza curetaje con injerto óseo2,3,10,15.
De igual manera, las recurrencias y las transformaciones malignas son extremadamente raras5,6,12,13,16.
Entendemos que este caso es especialmente interesante por tratarse de un deportista profesional, de un deporte como el básquet donde se producen millones de impactos.
El hallazgo de este lipoma intracalcáneo en la revisión médica del fichaje de un jugador profesional obliga a realizar una serie de consideraciones que además requieren la rápida toma de decisiones.
La bibliografía del tema es corta y, evidentemente, los casos descritos se alejan mucho del nuestro. De entrada podemos descartar 3 puntos:
- Este jugador ha recibido gran cantidad de impactos directos sobre esta zona a lo largo de toda su carrera deportiva y nunca ha tenido ningún síntoma.
- Este lipoma se encuentra en la última fase del estado evolutivo según la clasificación de Milgran, y probablemente este estadio sea el de mayor protección frente a la posible fractura patológica.
- No se han descrito fracturas patológicas en la bibliografía.
A partir de estas 3 consideraciones decidimos fichar al jugador. Se propuso estudio podológico y ortesis plantar óptima. Se propuso como control de factores de riesgo de fractura patológica la realización de un estudio de densitometría ósea de la zona concreta, pero los expertos consultados comentan que los estudios detectan un alto número de falsos positivos con esta técnica. Y poca especificidad sobre este hueso.
Como consideraciones posteriores se decidió un plan de actuación para proceder ante problemas que pudieran acontecer durante la temporada. Con este plan hablamos con el jugador y, evidentemente, con el club, que deberá aceptar el riesgo y aprobar los actos que se van a realizar. En este sentido, nuestra propuesta fue la siguiente:
- Si el jugador presentara un inicio de síntomas claros, fundamentalmente dolor, aconsejaríamos parar los entrenamientos, repetir las pruebas diagnósticas y -como entendemos que este síntoma está claramente relacionado con el posible riesgo de fractura patológica- en este caso propondríamos intervención quirúrgica preventiva.
- Si el jugador presentara una fractura patológica durante el curso de la temporada -caso rarísimo y no descrito, pero posible-, nuestra propuesta sería realizar un intervención quirúrgica consistente en vaciado del lipoma, llenado con hueso esponjoso o bien con sustancias en forma de fosfato mono o tricálcico en forma de pastas inyectadas in situ que proporcionen integridad estructural y mecánica de la fractura, conjuntamente con osteosíntesis con placa de bajo relieve para el calcáneo, realizando la correspondiente anatomía patológica de cualquier muestra obtenida. Este hecho permite una rehabilitación precoz y el acortamiento del tiempo de discapacidad, que aproximadamente sería de 2 meses sin apoyar el pie y 2 meses de readaptación para volver a competir.
- Por último, si el jugador terminara la temporada sin molestias, deberían realizarse nuevas pruebas diagnósticas (radiología simple, RM, TC y gammagrafía), y si no se detectan cambios significativos, la propuesta sería seguir con la filosofía preventiva con la cual se optó en su fichaje, es decir, controles cada 6 meses y tratamiento conservador.
El caso no está cerrado, el jugador sigue jugando sin molestias y esperemos que sea para muchos años.
Correspondencia:
Dr. Gil Rodas. Avda. Arístides Maillol, s/n.
08440 Barcelona. España.
Correo electrónico: gil.rodas@fcbarcelona.cat






